Implanty to sztuczne elementy, które są wszczepiane do ciała pacjenta w celu zastąpienia utraconych lub uszkodzonych struktur anatomicznych. W medycynie implanty mają szerokie zastosowanie, od stomatologii po ortopedię. Najpopularniejsze rodzaje implantów to implanty zębowe, które służą do zastąpienia brakujących zębów, oraz implanty ortopedyczne, które wspierają kości i stawy. Implanty wykonane są z biokompatybilnych materiałów, takich jak tytan, co oznacza, że są dobrze tolerowane przez organizm ludzki. Proces wszczepiania implantu zazwyczaj obejmuje kilka etapów, w tym dokładne badania diagnostyczne, planowanie zabiegu oraz samą operację. Po wszczepieniu implant wymaga czasu na integrację z otaczającymi tkankami, co jest kluczowe dla jego długotrwałej funkcji.
Jakie są rodzaje implantów dostępnych na rynku?
Na rynku dostępnych jest wiele rodzajów implantów, które różnią się przeznaczeniem oraz materiałami użytymi do ich produkcji. W stomatologii najczęściej spotykane są implanty zębowe, które mogą mieć różne kształty i rozmiary w zależności od potrzeb pacjenta oraz warunków anatomicznych jamy ustnej. W ortopedii wyróżniamy implanty stawowe, takie jak endoprotezy biodra czy kolana, które mają na celu przywrócenie pełnej funkcjonalności ruchowej pacjentom z chorobami zwyrodnieniowymi stawów. Innym rodzajem są implanty piersiowe stosowane w chirurgii plastycznej, które służą do powiększania lub rekonstrukcji piersi po mastektomii. Implanty mogą być również wykorzystywane w chirurgii rekonstrukcyjnej do odbudowy uszkodzonych tkanek ciała.
Jakie są zalety i wady stosowania implantów?

Stosowanie implantów niesie ze sobą wiele korzyści, ale także pewne ryzyka, które warto rozważyć przed podjęciem decyzji o ich wszczepieniu. Jedną z głównych zalet jest możliwość przywrócenia funkcji utraconych tkanek lub narządów, co znacząco poprawia jakość życia pacjentów. Implanty zębowe pozwalają na normalne jedzenie i mówienie, a endoprotezy stawowe umożliwiają powrót do aktywności fizycznej bez bólu. Dodatkowo implanty często mają długotrwałą trwałość, co czyni je opłacalnym rozwiązaniem na dłuższą metę. Z drugiej strony istnieją również wady związane z ich stosowaniem. Wszczepienie implantu wiąże się z ryzykiem powikłań chirurgicznych oraz infekcji. Ponadto nie każdy pacjent jest odpowiednim kandydatem do zabiegu; czynniki takie jak stan zdrowia ogólnego czy obecność chorób przewlekłych mogą wpływać na decyzję lekarza o przeprowadzeniu operacji.
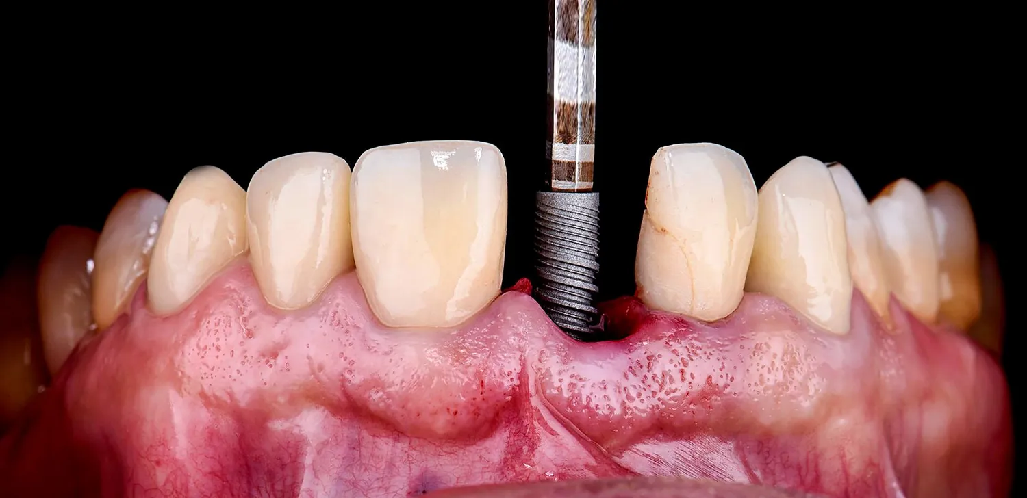
Jak przebiega proces zakupu i wszczepienia implantów?
Proces zakupu i wszczepienia implantów jest skomplikowanym przedsięwzięciem wymagającym współpracy między pacjentem a zespołem medycznym. Pierwszym krokiem jest konsultacja ze specjalistą, który oceni stan zdrowia pacjenta oraz przeprowadzi szczegółowe badania diagnostyczne, takie jak zdjęcia rentgenowskie czy tomografia komputerowa. Na podstawie wyników lekarz podejmie decyzję o rodzaju implantu oraz zaplanuje zabieg chirurgiczny. Kolejnym etapem jest zakup odpowiednich materiałów; często odbywa się to poprzez współpracę z certyfikowanymi producentami lub dostawcami sprzętu medycznego. Po przygotowaniu pacjenta do zabiegu następuje sama operacja wszczepienia implantu, która może być przeprowadzona w znieczuleniu miejscowym lub ogólnym w zależności od skomplikowania procedury. Po operacji ważna jest rehabilitacja oraz regularne kontrole u lekarza prowadzącego, aby monitorować proces gojenia i integracji implantu z otaczającymi tkankami.
Jakie są najczęstsze powikłania związane z implantami?
Pomimo wysokiej skuteczności i popularności implantów, ich stosowanie wiąże się z ryzykiem wystąpienia różnych powikłań. Najczęściej spotykanym problemem jest infekcja w miejscu wszczepienia, która może prowadzić do odrzucenia implantu. Infekcje te mogą być spowodowane nieodpowiednią higieną jamy ustnej lub brakiem przestrzegania zaleceń lekarza po zabiegu. Innym poważnym powikłaniem jest nieprawidłowa integracja implantu z kością, co może prowadzić do jego luzowania lub całkowitego wypadnięcia. Takie sytuacje mogą wystąpić na skutek niewłaściwego planowania zabiegu, a także czynników anatomicznych pacjenta, takich jak zbyt mała ilość kości. Dodatkowo, pacjenci mogą doświadczać bólu lub dyskomfortu w okolicy implantu, co również może być oznaką problemów. W przypadku implantów ortopedycznych mogą wystąpić problemy z zakresu ruchomości stawu, co wpływa na funkcjonalność kończyny.
Jakie są koszty związane z implantami medycznymi?
Koszty związane z implantami medycznymi mogą się znacznie różnić w zależności od rodzaju implantu, lokalizacji zabiegu oraz doświadczenia specjalisty. W przypadku implantów zębowych ceny wahają się od kilku tysięcy do kilkunastu tysięcy złotych za jeden implant, co często obejmuje również koszty konsultacji, badań diagnostycznych oraz procedur dodatkowych, takich jak przeszczepy kości czy sinus lifting. Koszty implantów ortopedycznych również mogą być znaczne; endoprotezy stawowe mogą kosztować nawet kilkadziesiąt tysięcy złotych, a ich cena często obejmuje zarówno sam implant, jak i operację oraz rehabilitację. Warto zaznaczyć, że wiele osób decyduje się na korzystanie z ubezpieczenia zdrowotnego lub programów ratalnych oferowanych przez kliniki, co może znacznie obniżyć koszty leczenia. Ponadto warto porównać oferty różnych placówek medycznych oraz zapytać o dostępne promocje czy pakiety usług.
Jakie są najnowsze osiągnięcia w dziedzinie implantologii?
Implantologia to dziedzina medycyny, która dynamicznie się rozwija i wprowadza innowacje mające na celu poprawę skuteczności i bezpieczeństwa zabiegów wszczepiania implantów. Jednym z najnowszych osiągnięć jest zastosowanie technologii cyfrowych w planowaniu zabiegów. Dzięki skanowaniu 3D oraz symulacjom komputerowym lekarze mogą precyzyjnie zaplanować miejsce wszczepienia implantu oraz dostosować jego rozmiar do indywidualnych potrzeb pacjenta. Kolejnym znaczącym postępem jest rozwój materiałów biokompatybilnych, które jeszcze lepiej integrują się z tkankami ciała i zmniejszają ryzyko powikłań. W ostatnich latach pojawiły się także implanty o właściwościach antybakteryjnych, które mają na celu minimalizację ryzyka infekcji pooperacyjnych. Również techniki regeneracyjne, takie jak terapia komórkami macierzystymi czy inżynieria tkankowa, zaczynają być wykorzystywane w celu wspomagania procesu gojenia i poprawy wyników leczenia.
Jak dbać o implanty po ich wszczepieniu?
Prawidłowa pielęgnacja implantów po ich wszczepieniu jest kluczowa dla zapewnienia ich długotrwałej funkcji oraz uniknięcia powikłań. Po operacji lekarz zazwyczaj udziela szczegółowych wskazówek dotyczących higieny oraz diety. Ważne jest, aby unikać twardych pokarmów przez kilka pierwszych dni po zabiegu oraz stosować się do zaleceń dotyczących stosowania leków przeciwbólowych i przeciwzapalnych. Higiena jamy ustnej odgrywa szczególną rolę w przypadku implantów zębowych; należy regularnie szczotkować zęby oraz używać nici dentystycznej w okolicach implantu, aby zapobiec gromadzeniu się płytki bakteryjnej. W przypadku implantów ortopedycznych istotne jest przestrzeganie zaleceń dotyczących rehabilitacji oraz unikanie nadmiernego obciążania stawu w początkowym okresie pooperacyjnym. Regularne wizyty kontrolne u lekarza są niezbędne do monitorowania stanu implantu oraz ogólnego zdrowia pacjenta.
Jak przygotować się do zabiegu wszczepienia implantu?
Przygotowanie do zabiegu wszczepienia implantu jest kluczowym etapem, który ma na celu zapewnienie jego sukcesu oraz minimalizację ryzyka powikłań. Pierwszym krokiem jest konsultacja ze specjalistą, który przeprowadzi dokładną ocenę stanu zdrowia pacjenta oraz wykona niezbędne badania diagnostyczne. Na podstawie wyników lekarz podejmie decyzję o rodzaju implantu oraz zaplanuje szczegóły zabiegu. Ważne jest również omówienie historii chorób przewlekłych oraz przyjmowanych leków, które mogą wpływać na przebieg operacji. Przed zabiegiem pacjent powinien zadbać o odpowiednią higienę jamy ustnej lub miejsca operowanego oraz stosować się do zaleceń dotyczących diety; często zaleca się unikanie jedzenia i picia na kilka godzin przed operacją. Dobrze jest także przygotować sobie wsparcie bliskich osób na czas rekonwalescencji; pomocna może być obecność kogoś bliskiego podczas wizyty kontrolnej po zabiegu.
Jakie są alternatywy dla implantów w medycynie?
Choć implanty są popularnym rozwiązaniem w wielu dziedzinach medycyny, istnieją również alternatywy, które mogą być odpowiednie w niektórych przypadkach. W stomatologii, zamiast implantów zębowych, pacjenci mogą rozważyć mosty protetyczne, które są stosowane do zastąpienia brakujących zębów poprzez osadzenie ich na zdrowych zębach po obu stronach luki. Mosty są mniej inwazyjne i nie wymagają zabiegów chirurgicznych, jednak mogą wymagać szlifowania sąsiednich zębów. Inną opcją są protezy ruchome, które można łatwo zdjąć i założyć; są one szczególnie polecane dla osób starszych lub tych, którzy nie kwalifikują się do zabiegu wszczepienia implantu. W ortopedii zamiast endoprotez stawowych można zastosować leczenie zachowawcze, takie jak fizjoterapia czy leki przeciwbólowe, które mogą pomóc w łagodzeniu objawów bez konieczności operacji. W przypadku chirurgii plastycznej istnieją również inne metody powiększania piersi, takie jak przeszczepy tkanki tłuszczowej.
Jakie są opinie pacjentów na temat implantów?
Opinie pacjentów na temat implantów są zazwyczaj pozytywne, zwłaszcza gdy zabieg został przeprowadzony przez doświadczonego specjalistę i zgodnie z zaleceniami. Wielu pacjentów podkreśla znaczną poprawę jakości życia po wszczepieniu implantów, zarówno w przypadku implantów zębowych, jak i ortopedycznych. Osoby, które otrzymały implanty zębowe często wskazują na poprawę estetyki uśmiechu oraz komfortu podczas jedzenia i mówienia. Z kolei pacjenci z endoprotezami stawowymi chwalą sobie możliwość powrotu do aktywności fizycznej oraz redukcję bólu. Niemniej jednak niektórzy pacjenci zgłaszają obawy dotyczące procesu rehabilitacji oraz potencjalnych powikłań związanych z wszczepieniem implantu. Ważne jest, aby przed podjęciem decyzji o zabiegu zapoznać się z doświadczeniami innych pacjentów oraz omówić wszelkie wątpliwości ze specjalistą. Warto również pamiętać, że każdy przypadek jest inny i to, co sprawdziło się u jednej osoby, może nie być odpowiednie dla innej.




