Bezśrubowe implanty to nowoczesne rozwiązanie w dziedzinie stomatologii, które zyskuje na popularności dzięki swojej innowacyjnej konstrukcji. W przeciwieństwie do tradycyjnych implantów, które wymagają użycia śrub do mocowania, bezśrubowe implanty opierają się na specjalnych mechanizmach zatrzaskowych lub systemach, które umożliwiają stabilne osadzenie implantu w kości szczękowej bez potrzeby stosowania dodatkowych elementów mocujących. Dzięki temu proces wszczepienia jest mniej inwazyjny, co przekłada się na szybszy czas gojenia oraz mniejsze ryzyko powikłań. Bezśrubowe implanty są również bardziej estetyczne, ponieważ eliminują widoczność metalowych elementów, co jest szczególnie istotne w przypadku implantów stosowanych w przednich częściach jamy ustnej. Warto zaznaczyć, że technologia ta jest ciągle rozwijana, a badania nad jej skutecznością i bezpieczeństwem trwają.
Jakie są zalety bezśrubowych implantów w stomatologii?
Bezśrubowe implanty oferują szereg korzyści zarówno dla pacjentów, jak i dla lekarzy stomatologów. Przede wszystkim ich zastosowanie wiąże się z mniejszym dyskomfortem podczas zabiegu oraz krótszym czasem rekonwalescencji. Dzięki uproszczonej procedurze wszczepienia pacjenci mogą wrócić do normalnych aktywności znacznie szybciej niż w przypadku tradycyjnych implantów. Kolejną zaletą jest mniejsze ryzyko infekcji, ponieważ brak śrub oznacza mniej punktów kontaktu z tkankami miękkimi. Dodatkowo bezśrubowe implanty charakteryzują się lepszą integracją z kością, co sprzyja ich długotrwałemu utrzymaniu. Warto również podkreślić estetykę tych rozwiązań; dzięki temu, że nie ma widocznych metalowych elementów, uzyskany efekt końcowy jest bardziej naturalny i harmonijny. Ponadto bezśrubowe implanty są często lżejsze od swoich tradycyjnych odpowiedników, co również wpływa na komfort noszenia.
Jakie są różnice między tradycyjnymi a bezśrubowymi implantami?

Różnice między tradycyjnymi a bezśrubowymi implantami są znaczące i dotyczą zarówno samego procesu wszczepienia, jak i późniejszego użytkowania. Tradycyjne implanty wymagają użycia śrub do mocowania ich w kości szczękowej, co wiąże się z większą inwazyjnością zabiegu oraz dłuższym czasem gojenia. W przypadku bezśrubowych implantów zastosowanie mechanizmów zatrzaskowych pozwala na szybsze osadzenie implantu oraz minimalizację urazów tkanek miękkich. Kolejną różnicą jest estetyka; tradycyjne rozwiązania często pozostawiają widoczne metalowe elementy, podczas gdy bezśrubowe implanta są bardziej dyskretne i naturalnie komponują się z uzębieniem pacjenta. Dodatkowo bezśrubowe implanty mogą oferować lepszą stabilność oraz integrację z kością dzięki innowacyjnym materiałom i technologiom produkcji. Warto również zwrócić uwagę na koszty; chociaż początkowa cena bezśrubowych implantów może być wyższa, to ich długoterminowa efektywność oraz mniejsze ryzyko komplikacji mogą przynieść oszczędności w przyszłości.
Jakie są najnowsze osiągnięcia w technologii bezśrubowych implantów?
Technologia bezśrubowych implantów stale się rozwija, a najnowsze osiągnięcia w tej dziedzinie przynoszą obiecujące rezultaty zarówno dla pacjentów, jak i dla specjalistów zajmujących się stomatologią. Jednym z kluczowych trendów jest zastosowanie zaawansowanych materiałów biokompatybilnych, które wspierają proces osteointegracji – czyli połączenia implantu z kością szczękową. Nowoczesne technologie druku 3D pozwalają na precyzyjne dopasowanie kształtu implantu do indywidualnej anatomii pacjenta, co zwiększa skuteczność leczenia oraz komfort noszenia. Ponadto rozwój cyfrowych technologii obrazowania umożliwia lekarzom dokładniejsze planowanie zabiegów oraz minimalizację ryzyka błędów podczas wszczepiania implantów. Innowacyjne systemy zatrzaskowe stają się coraz bardziej popularne, ponieważ zapewniają łatwiejsze mocowanie protez dentystycznych do implantu bez konieczności używania śrub. Również badania nad zastosowaniem nanotechnologii w produkcji implantu pokazują obiecujące wyniki w zakresie poprawy ich trwałości oraz integracji z tkankami kostnymi.
Jakie są najczęstsze pytania dotyczące bezśrubowych implantów?
Bezśrubowe implanty wzbudzają wiele zainteresowania, co prowadzi do pojawiania się licznych pytań ze strony pacjentów oraz specjalistów. Jednym z najczęściej zadawanych pytań jest to, jak długo trwa proces gojenia po wszczepieniu implantu. W przypadku bezśrubowych implantów czas ten może być krótszy niż w przypadku tradycyjnych rozwiązań, ponieważ mniejsza inwazyjność zabiegu sprzyja szybszej regeneracji tkanek. Kolejnym istotnym zagadnieniem jest trwałość takich implantów; wiele osób zastanawia się, czy bezśrubowe rozwiązania są równie wytrzymałe jak ich tradycyjne odpowiedniki. Badania wskazują, że nowoczesne technologie produkcji oraz materiały stosowane w bezśrubowych implantach zapewniają im wysoką odporność na obciążenia mechaniczne, co czyni je długotrwałym rozwiązaniem. Pacjenci często pytają również o ryzyko powikłań związanych z tymi implantami; chociaż każda procedura medyczna niesie ze sobą pewne ryzyko, to innowacyjne podejście w przypadku bezśrubowych implantów zmniejsza prawdopodobieństwo wystąpienia infekcji czy innych komplikacji. Warto również zwrócić uwagę na kwestie finansowe; pacjenci często zastanawiają się nad kosztami związanymi z zabiegiem oraz ewentualnymi dodatkowymi wydatkami na wizyty kontrolne.
Jakie są opinie pacjentów na temat bezśrubowych implantów?
Opinie pacjentów na temat bezśrubowych implantów są zazwyczaj pozytywne, co potwierdza rosnącą popularność tej technologii w stomatologii. Wielu pacjentów docenia przede wszystkim komfort związany z zabiegiem oraz krótki czas rekonwalescencji. Osoby, które zdecydowały się na bezśrubowe implanty, często podkreślają, że proces wszczepienia był mniej bolesny i stresujący niż się spodziewali. Dzięki mniejszej inwazyjności zabiegu pacjenci mogą wrócić do codziennych aktywności znacznie szybciej, co jest istotnym atutem dla wielu osób prowadzących intensywne życie zawodowe i osobiste. Dodatkowo pacjenci chwalą estetykę uzyskanych efektów; brak widocznych metalowych elementów sprawia, że uśmiech wygląda naturalnie i harmonijnie. Niektórzy pacjenci zauważają również poprawę funkcji żucia oraz ogólnego komfortu noszenia protez dentystycznych. Oczywiście, jak w każdej dziedzinie medycyny, istnieją także głosy krytyczne; niektórzy pacjenci mogą doświadczać problemów z integracją implantu z kością lub mieć inne indywidualne reakcje na materiał użyty do produkcji implantu.
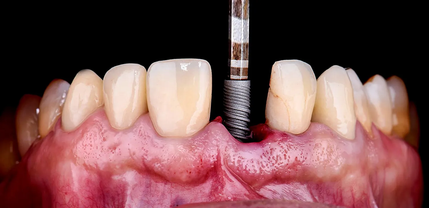
Jak wygląda proces wszczepienia bezśrubowego implantu?
Proces wszczepienia bezśrubowego implantu jest zazwyczaj prostszy i mniej inwazyjny niż w przypadku tradycyjnych rozwiązań. Na początku lekarz przeprowadza szczegółową ocenę stanu zdrowia pacjenta oraz analizuje zdjęcia rentgenowskie lub tomografię komputerową, aby ocenić strukturę kości szczękowej i zaplanować zabieg. Po ustaleniu odpowiednich parametrów przystępuje się do samego zabiegu, który zazwyczaj odbywa się w znieczuleniu miejscowym. W przypadku bezśrubowych implantów lekarz wykonuje niewielkie nacięcie w dziąśle i przygotowuje miejsce na implant za pomocą specjalnych narzędzi. Następnie implant jest umieszczany w kości szczękowej przy użyciu mechanizmu zatrzaskowego lub innego systemu mocowania, co eliminuje potrzebę stosowania śrub. Cały proces trwa zazwyczaj od 30 minut do kilku godzin, w zależności od liczby wszczepianych implantów oraz skomplikowania przypadku. Po zakończeniu zabiegu lekarz udziela pacjentowi wskazówek dotyczących pielęgnacji jamy ustnej oraz postępowania pooperacyjnego.
Jak dbać o bezśrubowe implanty po ich wszczepieniu?
Dbanie o bezśrubowe implanty po ich wszczepieniu jest kluczowe dla zapewnienia ich długotrwałej funkcjonalności oraz zdrowia jamy ustnej. Po pierwsze, niezwykle istotne jest przestrzeganie zasad higieny jamy ustnej; regularne szczotkowanie zębów oraz nitkowanie powinny stać się codziennym rytuałem każdego pacjenta posiadającego implanty. Używanie miękkiej szczoteczki do zębów oraz pasty zawierającej fluor pomoże utrzymać zdrowe dziąsła i zapobiec osadzaniu się płytki nazębnej wokół implantu. Pacjenci powinni również unikać twardych pokarmów oraz nadmiernego obciążania implantu w początkowym okresie gojenia, aby nie narazić go na uszkodzenia. Regularne wizyty kontrolne u stomatologa są niezbędne do monitorowania stanu implantu oraz otaczających tkanek; lekarz może zalecić dodatkowe zabiegi profilaktyczne lub dostosować plan leczenia w razie potrzeby. Warto również zwrócić uwagę na ewentualne objawy niepożądane, takie jak ból czy obrzęk wokół implantu; ich wystąpienie powinno skłonić pacjenta do natychmiastowego kontaktu z lekarzem.
Jakie są koszty związane z bezśrubowymi implantami?
Koszty związane z bezśrubowymi implantami mogą się znacznie różnić w zależności od wielu czynników, takich jak lokalizacja gabinetu stomatologicznego, doświadczenie lekarza czy zastosowane materiały i technologie. W porównaniu do tradycyjnych implantów, które również mogą być kosztowne ze względu na dodatkowe elementy mocujące i bardziej skomplikowany proces wszczepienia, ceny za bezśrubowe rozwiązania mogą być konkurencyjne lub nawet wyższe ze względu na nowoczesność technologii i materiałów używanych do ich produkcji. Koszt jednego implantu może wynosić od kilku tysięcy złotych wzwyż; warto jednak pamiętać, że inwestycja ta często wiąże się z długoterminowymi korzyściami zdrowotnymi oraz estetycznymi. Dodatkowo warto uwzględnić koszty związane z wizytami kontrolnymi oraz ewentualnymi dodatkowymi procedurami stomatologicznymi, które mogą być konieczne przed lub po wszczepieniu implantu. Niektóre kliniki oferują możliwość rozłożenia płatności na raty lub współpracują z firmami ubezpieczeniowymi, co może ułatwić pokrycie kosztów leczenia.





